• Please select your page

  • Office
    • Comfort & Amenities
    • Our Technology
    • Office Tour
    • Finances & Insurance
    • Patient Reviews
  • Team
  • Reviews
  • Treatments
    • General Dentistry
    • Cosmetic Dentistry
    • Orthodontics
    • Children's Dentistry
    • Hygiene Services
    • Information for Patients
  • Before&After
  • Appointment

Before & After Gallery

  • Home
  • Before & After

Composite Restoration Case 1

Patient's old amalgam fillings were replaced to esthetic white composite fillings.

Composite Work Before Before
Composite Work After After

Composite Restoration Case 2

Patient fell and chipped a front tooth. Reshaped the tooth with esthetic white composite filling

Composite Work Before Before
Composite Work After After

Crown Restoration

Patient did not like her old porcelain fused metal crown which was showing a black gum line and too much yellowish shade. The crown was replaced with an esthetic porcelain crown to match patient's other teeth shade and removed black gum line.

Crown Work Before Before
Crown Work After After

Front Teeth Bridge

Previous dentist gave him a 5 unit bridge where it should have been a 6 unit bridge which made the front teeth very wide and short. Replaced the bridge to a 6 unit to have a narrower, esthetically correct and natural look.

Bridge Work Before Before
Bridge Work After After

Veneer Case 1

Very yellow and stained teeth and had cavities. 8 upper teeth and 8 lower teeth were veneered.

Veneer Case 1 Before Before
Veneer Case 1 after After

Veneer Case 2

Teeth were chipped and had cavities, white spots, and yellow stains. 6 front teeth were veneered.

Veneer Case 2 Before Before
Veneer Case 2 after After

Veneer Case 3

Upper side had an unattractive crown with a black gum line showing. Lower teeth were narrower and had spaces between. Veneer placed on both upper and lower front teeth.

Veneer Case 3 Before Before
Veneer Case 3 after After

Whitening Case 1

In-Office 1-hour Zoom! Whitening

Whitening Case 1 Before Before
Whitening Case 1 after After

Whitening Case 2

Whitening Case 2 Before Before
Whitening Case 2 after After

Whitening Case 3

Whitening Case 3 Before Before
Whitening Case 3 after After

Whitening Case 4

Whitening Case 4 Before Before
Whitening Case 4 after After

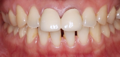
Invisalign Case 1

Patient did not like the space between two front teeth. Invisalign closed the space.

Invisalign Case 1 Before Before
Invisalign Case 1 after After

Invisalign Case 2

Patient did not like her high canine, crowding, and incorrect bite. Invisalign lowered the canine, corrected the bite, and realigned the teeth.

Invisalign Case 2 Before Before
Invisalign Case 2 after After

Invisalign Case 3

Spaces made teeth look unattractive. Invisalign closed the spaces and repositioned teeth.

Invisalign Case 3 Before Before
Invisalign Case 3 after After

Invisalign Case 4

Upper arch had too much spaces and the teeth flared out. Invisalign brought upper arch into esthetic position and brought both arches together to have good bites.

Invisalign Case 4 Before Before
Invisalign Case 4 after After

Invisalign Case 5

Patient had spaces between teeth and a deep bite. Invisalign done.

Invisalign Case 5 Before Before
Invisalign Case 5 after After

PowerProx 6-month Braces Case 1

Crowded teeth. Powerprox done and realigned teeth in 6 months

PowerProx 6-month Braces Case 1 Before Before
PowerProx 6-month Braces Case 1 after After

PowerProx 6-month Braces Case 2

Teeth were too big and wide. Had too much black triangle spaces between teeth. Reduced size of each teeth and made them narrower then Powerprox realigned to remove black triangles in 5 months.

PowerProx 6-month Braces Case 2 Before Before
PowerProx 6-month Braces Case 2 after After

PowerProx 6-month Braces Case 3

Teeth too flared out and not closing in the front due to wrong bite. Powerprox corrected open bite and brought in flared front teeth.

PowerProx 6-month Braces Case 3 Before Before
PowerProx 6-month Braces Case 3 after After

PowerProx 6-month Braces Case 4

Patient was gettng married in 6 months and had a large gap between the front two teeth. Patient chose Powerprox and completed in 6 months and closed the gap before the ceremony.

PowerProx 6-month Braces Case 4 Before Before
PowerProx 6-month Braces Case 4 after After

PowerProx 6-month Braces Case 5

Patient had braces in teenager years but did not wear retainer afterwards causing the teeth to move and get crowded.

PowerProx 6-month Braces Case 5 Before Before
PowerProx 6-month Braces Case 5 after After

PowerProx 6-month Braces Case 6

Powerprox done to correct crowding and flared front teeth.

PowerProx 6-month Braces Case 6 Before Before
PowerProx 6-month Braces Case 6 after After

PowerProx 6-month Braces Case 7

Only 2 molars in the back are touching and nothing else. Powerprox done to correct the open bite and flared front teeth in 5 months.

PowerProx 6-month Braces Case 7 Before Before
PowerProx 6-month Braces Case 7 after After

Excellence in Dental Care

Quality Dental Care
Comfort Injection Technique
Same-Day Emergency Scheduling
After Work Appointments
Family Block Appointments
Modern Office & Technology
Games & Activities for Children
Affordable Monthly Payment Plans
Insurance Friendly

Address

23922 Summerhill Lane
Valencia, CA. 91354
Tel: (661) 857-7662
Email: noadentalvalencia@gmail.com
Hours: Mon - Fri: 9am - 6pm

Request Appointment

Social Media

facebook icon
twitter icon
instagram icon
Youtube icon
Yelp icon
Patient Resources
  • Office Tour
  • New Patient Forms
  • Financial Information
About Us

Your Valencia dental care team at Noa Dental is dedicated to providing the best quality and comforting dental experiences to families in the Valencia, Santa Clarita, Castaic, CA area.

Practice Hours:

Monday - Friday: 9am-6pm

Noa Dental Valencia
footer icon

Tel: (661) 857-7662

footer icon2

Email: noadentalvalencia@gmail.com

footer icon3

Address:
23922 Summerhill Lane
Valencia, CA 91354

Our office location

Enter your starting address:

© 2025 All Rights Reserved. Copyright - Noa Dental / noadental.net